Laser genesis in NYC
TREAT Yourself Smooth Skin
texture and reduce redness with
gentle laser energy

“Say Goodbye To Redness”

Top Provider of Laser Genesis in NYC
Laser Genesis is a non-invasive cosmetic treatment that uses advanced laser technology to gently heat the upper layers of the skin. This controlled energy stimulates natural processes within the skin, targeting uneven tone and surface irregularities at a cellular level. The treatment is designed to be comfortable and does not require anesthesia, making it a popular choice for those seeking professional, in-office skin rejuvenation in a relaxed setting.
Laser Genesis Consultation
Your consultation will begin with an in-depth discussion of individual skin concerns, allowing our provider to assess the complexion and determine the most effective approach. This personalized evaluation ensures that the treatment plan is tailored to the unique characteristics of the skin, setting the foundation for safe and effective care.

Laser Genesis Procedure
Preparation
Laser Application
Dermal Heating
Completion
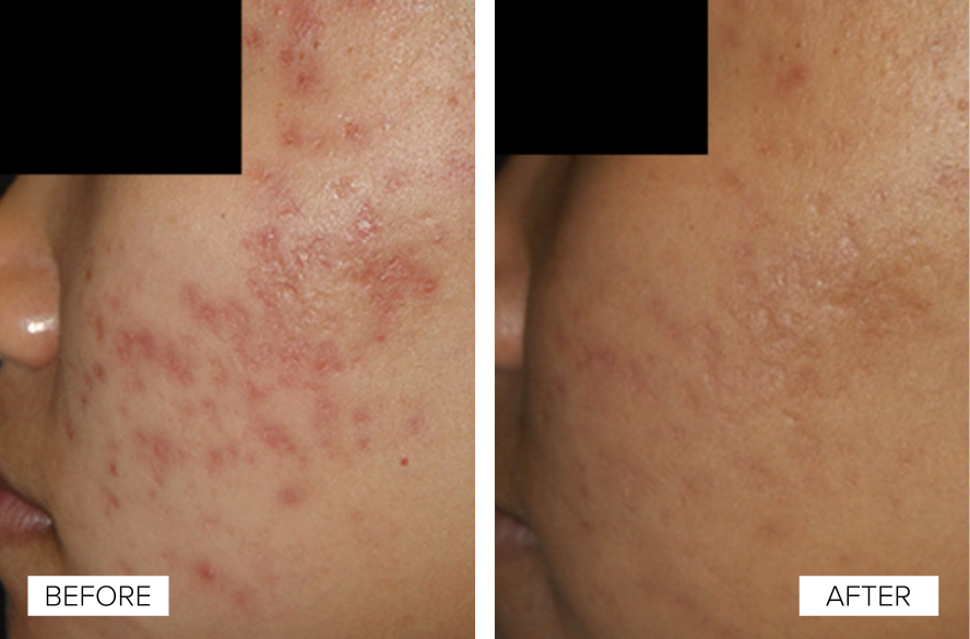
Laser Genesis Before and After




Recovery & Aftercare
- Laser Genesis involves minimal downtime, allowing most patients to return to their normal activities immediately after treatment.
- Protecting the skin from excessive sun exposure is essential, as the treated areas may be more vulnerable to sun damage.
- A consistent skincare routine helps maintain the skin’s clarity and overall health following treatment.
- Hydration and gentle cleansing support the skin’s natural recovery process.
Candidates for Laser Genesis Treatment
This treatment is often considered by individuals with specific cosmetic concerns who want a non-invasive option for skin renewal. It is suitable across different age groups and skin types, making it a versatile choice for addressing a wide range of aesthetic needs. Typical candidates include:

Individuals with uneven skin tone

People noticing signs of premature aging

Those concerned about large pores

Individuals with lingering acne scars
Benefits of Laser Genesis
Creates Glowing Skin
Reduces Fine Lines and Wrinkles
Shrinks Enlarged Pores
Improves Acne Scars
Evens Out Skin Tone and Texture
Constricts Blood Vessels (Broken Capillaries)
Reduces Rosacea

Cost of Laser Genesis Treatment
in NYC
The cost of Laser Genesis treatment in NYC ranges from $250 to $500 per session, depending on the treatment area and the number of sessions recommended for optimal results. Pricing can vary, so scheduling a consultation at TREAT Medspa is the best way to receive a personalized plan tailored to individual goals.
TREAT Medspa Is a Premier Destination
for Laser Treatments


FAQs: Got Questions? We've Got Answers
Does Laser Genesis hurt?
Is Laser Genesis safe?
Is Laser Genesis suitable for all skin types?
Can I combine Laser Genesis with other cosmetic procedures?
*All treatments at Treat Medspa are performed or supervised by licensed medical professionals.
*Individual results may vary. Every patient is evaluated to determine candidacy prior to treatment.
*Potential risks and side effects are reviewed during the consultation process, and informed consent is required before treatment.
"Clearer Skin Starts Here."
Ready for Clearer
Brighter skin?
Laser genesis
